Kompleksowa opieka stomatologiczna

Od profilaktyki po zaawansowaną protetykę — nowoczesne metody i najwyższej jakości materiały.

Sterylne narzędzia stomatologiczne
Bezpieczeństwo

Sterylny gabinet

Inwestuję w sprzęt najwyższej jakości — od unitów dentystycznych japońskiej i włoskiej firmy po autoklawy wiodących producentów Cominox i Melag.

Sterylizacja w próżni przy pomocy pary wodnej w bardzo wysokiej temperaturze jest najskuteczniejszym znanym sposobem niszczenia wszelkich form bakterii. Każdy proces sterylizacji kontrolowany jest za pomocą testów, a skuteczność jest stale monitorowana przez Sanepid.

Cyfrowe RTG w gabinecie
Diagnostyka

RTG od ręki

Posiadam cyfrowe aparaty rentgenowskie RVG MyRay, które pozwalają na wykonanie zdjęcia RTG bezpośrednio na fotelu i jego natychmiastową ocenę na monitorze komputera.

Bez konieczności tracenia czasu na proces wywoływania i utrwalania zdjęcia RTG na kliszy — oszczędzam Twój czas.

VDW Gold — leczenie endodontyczne
Leczenie kanałowe

Leczenie endodontyczne

Do leczenia endodontycznego wykorzystuję oprócz narzędzi ręcznych, mikrosilniki endodontyczne firm VDW GOLD i W&H oraz najnowocześniejsze endometry V i VI generacji.

Jest to niezbędne do prawidłowego opracowania i wypełnienia kanału zęba — dokładne pomiary długości kanału korzeniowego gwarantują najlepsze efekty leczenia.

EMS Air-Flow
Higiena

Usuwanie kamienia & Air-Flow

Do usuwania kamienia nazębnego używam scalera ultradźwiękowego firmy EMS, który zapewnia bezbolesne usunięcie złogów kamienia.

Przebarwienia zębów powstałe w wyniku palenia papierosów, picia mocnej kawy, herbaty czy napojów barwiących usuwam za pomocą piaskarki Air-Flow Handy Plus firmy EMS.

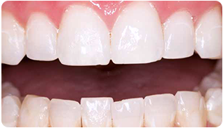
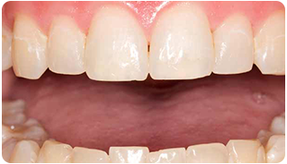
Lampa wybielająca BT Cool+
Estetyka

Wybielanie zębów

Przeprowadzam nowoczesne, jednowizytowe wybielanie zębów przy użyciu lampy LED BT Cool+. Wybielenie nawet o 8–10 odcieni w trakcie jednej godziny.

Wybielanie lampą LED nie boli (jak laser), trwa tylko 1 godzinę (zamiast 2 tygodni przy metodzie nakładkowej) i przynosi takie same efekty jak wybielanie laserowe.

Przy odpowiednim dbaniu o zęby, efekt utrzymuje się do dwóch lat.

Calaject — bezbolesne znieczulenie
Komfort

Znieczulenie Calaject™

Dla zestresowanych pacjentów mam do zaoferowania najnowsze osiągnięcie techniki znieczuleń — komputerowe znieczulenie Calaject™. Absolutnie bezbolesne, nie odstrasza widokiem igły.

  • Mała dawka środka znieczulającego (ok. 1/8 dawki) — łagodniejsze dla serca
  • Natychmiastowy efekt znieczulenia (ok. 30 sekund)
  • Wyeliminowanie długotrwałego odrętwienia
  • Znieczulenie pojedynczych zębów w kilku kwadrantach — 1 wizyta
  • Krótki czas trwania znieczulenia (ok. 30 minut)
  • Idealne dla dzieci i osób niepełnosprawnych
Odbudowa i protetyka zębów
Protetyka

Odbudowa zębów & Protetyka

Odbudowa zębów materiałami kompozytowymi z użyciem nowoczesnych diodowych lamp polimeryzacyjnych Elipar FreeLight firmy 3M ESPE.

Oferuję pełen zakres protetyki: korony porcelanowe i cyrkonowe, mosty, protezy szkieletowe, akrylowe, akronowe (elastyczne) i protezy na zatrzaskach.

Precyzyjne odwzorowanie pola protetycznego dzięki urządzeniu Pentamix 3M — gwarancja idealnego dopasowania.

Mediraty — Płatność w ratach

Dbam o Twój uśmiech bez obciążania budżetu. Skorzystaj z dogodnych rat na wszystkie zabiegi stomatologiczne.

MediRaty - finansowanie usług medycznych

MediRaty to sprawdzony system finansowania usług medycznych, dzięki któremu możesz rozpocząć leczenie od razu, a koszty rozłożyć na dogodne dla Ciebie raty. Proces wnioskowania jest szybki i odbywa się bez zbędnych formalności.

  • Finansowanie od 500 zł do 50 000 zł
  • Decyzja nawet w 15 minut
  • Dogodny okres kredytowania (od 6 do 60 miesięcy)
Oblicz ratę i dowiedz się więcej

Chcesz poznać plan leczenia?

Umów się na wizytę konsultacyjną — wspólnie ustalimy najlepsze rozwiązanie dla Ciebie.

Rejestracja online